Speichenbruch: Diagnose
Radiusfrakturen / Speichenbrüche
Diagnose des Speichen-Bruches (Radius-Fraktur) Unterarm-Bruch
Welche Beschwerden führen bei
Speichen-Fraktur zum Arzt?

Im typischen Fall vermag ein
erfahrener Unfallchirurg, Orthopäde oder Handchirurg den
Unterarm-Bruch bereits an der Schwellung, an den Schmerzen und
besonders an der typischen Fehlstellung des Handgelenkes zu
erkennen.
Die Röntgen-Aufnahme des Handgelenkes ist notwendig zur Bestätigung
der Diagnose Unterarm-Bruch und zur Beurteilung der Schwere der
Unterarm-Fraktur.

Dabei
wird das Handgelenk in mehreren Ebenen geröntgt. Besonders die
seitliche Darstellung des Unterarm-Bruches zeigt oft die erhebliche
Verschiebung (Dislokation)
Die Abb. links zeigt einen solchen
stark verschoben Bruch der Speiche. Hierbei ist die Bruchfläche ganz
typisch nach hinten (dorsal) weggekippt. Solche Speichen-Brüche
werden auch als Smith-Frakturen bezeichnet.
Ist mit der Röntgen-Untersuchung des
Handgelenkes die Diagnose-Stellung abgeschlossen?
In den meisten Fällen beschränkt
sich das Ausmaß der Verletzung auf den Unterarm-Bruch
(Radius-Fraktur). Gerade beim Sturz auf die gestreckte Hand, kann es
jedoch neben der Unterarm-Fraktur auch Begleit-Verletzungen an
Ellenbogen und Schulter geben.

Jeder
Verletzte sollte Beschwerden auch fern des Unterarmes oder
Handgelenkes unbedingt frühzeitig äußeren, damit eine zweite
Begleit-Fraktur beim Speichen-Bruch nicht übersehen wird.
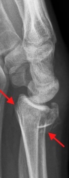
In der Abb. bestehen neben einer
moderaten Schwellung und Schmerzen am Handgelenk auch Schmerzen am
Ellenbogen.
(Beachten Sie die Schonhaltung am
Ellenbogen) Im Röntgen-Bild des Ellenbogens konnte hier eine
Speichen-Köpfchen-Fraktur gefunden werden. Dies macht ein
wesentlich erweitertes therapeutischen Vorgehen notwendig!
Ist eine Kernspin-Tomografie bei einem
Unterarm-Bruch notwendig?
Die meisten Unterarm-Frakturen
können mit ausreichender Sicherheit mittels eines normalen
Röntgenbildes erkannt werden. Sowohl die Computer-Tomografie als
auch die Kernspin-Tomografie sind jedoch in Einzelfällen sehr
hilfreich:
Die Computer-Tomografie:
zur Planung spezieller
Operations-Verfahren
zur Diagnostik eines eventuell
zusätzlich bestehenden Kahnbein-Bruches

Die Abb. zeigt eine CT-Aufnahme des Unterarmes und Handgelenkes
Diese 3 dimensionale
Rekonstruktion lässt die Knochen des Handgelenkes fast in natürliche
Weise zur Darstellung kommen.
Der
Nachteil des CTs ist jedoch die wesentlich höher Strahlenbelastung!
Die Kernspin-Tomografie:
zum Nachweis von im Handgelenk
zusätzlich bestehenden Bandschäden. Z.B. dem Riss des Bandes
zwischen Kahnbein und Mondbein (S-L-Bandriss)
zum Nachweis von Schäden am Diskus
des Handgelenkes, dreieckiger Faserknorpel)